Avant / Après

Pour apprécier le travail du cabinet du Dr Godet, nous avons mis à votre disposition, quelques cas illustrant les pratiques quotidiennes du cabinet.
Photos non retouchées

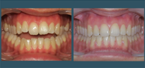
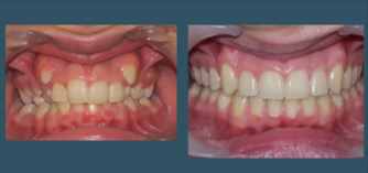
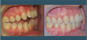
CAS N°1

Béance fonctionnelle chez l’adulte, traitement multi attaches non chirurgical.

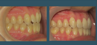
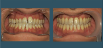
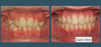
CAS N°2

Encombrement chez l’adolescent, traitement par disjoncteur et appareil fixe multi attaches

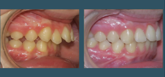
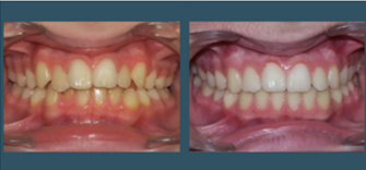
CAS N°3

Ectopies canines, traitement par disjoncteur et appareil fixe multi attaches

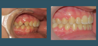
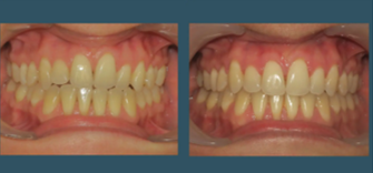
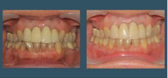
CAS N°4

Surplomb incisif important, appareil fixe multi attaches

CAS N°5

Défaut d’arcade et occlusion inversée antérieure, appareil fixe multi attaches

CAS N°6

Prognathie et latérognathie chez l’adulte. Traitement orthodontico- chirurgical

CAS N°7

Canine palatine, appareil fixe multi attaches

CAS N°8

Encombrement mandibulaire, appareil fixe multi-attaches avec extraction d’une incisive

CAS N°9

Surplomb incisif important et supraclusion, traitement orthodontico-chirurgical